Hozir mavjudmiz - Uchrashuv belgilang!
Ishonchli va xavfsiz

Tish og'rig'idan xalos bo'ling

Zamonaviy uskunalar va tajribali shifokorlar bilan professional tish davolash xizmati

Og'riqsiz davolash
Shaffof narxlar
Tajribali shifokorlar
Tez xizmat
Onlayn yozilish uchun 10% chegirma!
Shifokor
7+
Yillik tajriba
100+
Mamnun bemorlar
100%
Kafolat

Sizni nima bezovta qilyapti?

Muammoingizni tanlang va yechimni toping

Nega bizni tanlashadi?

Biz sizning vaqtingiz va ishonchingizni qadrlaymiz

Vaqtni tejang

Onlayn yoziling, navbatsiz qabul

Shaffof narxlar

Yashirin to'lovlar yo'q

Tajribali shifokorlar

10+ yillik tajriba

Onlayn bonus

10% chegirma olasiz

Haqiqiy natijalar

Bemorlarimizning o'zgarishlarini ko'ring

Oldin
Oldin
Keyin
Keyin

Tishni oqartirish

Stomatologiya xizmatlari

Ushbu bemorda tishlar rangining sarg‘ayishi va dog‘lar mavjud edi. Professional tish oqartirish muolajasidan so‘ng tishlar bir necha tonga oqardi, tabassum yanada yorqin va sog‘lom ko‘rinishga keldi.Muolaja xavfsiz, og‘riqsiz va qisqa vaqt ichida bajarildi.

Oldin
Oldin
Keyin
Keyin

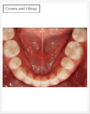
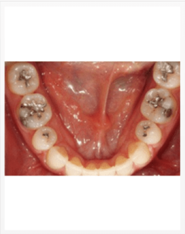
Kariyes davolashdan oldin va keyin

Tish salomatligi

Ushbu holatda bemorda chuqur kariyes mavjud edi va tish og‘rig‘i bezovta qilayotgan edi. Muolajadan so‘ng zararlangan qism tozalanib, sifatli plomba qo‘yildi va tish to‘liq tiklandi.

Bemorlarimiz fikri

Haqiqiy odamlarning haqiqiy sharhlari

Botiraliyev Xislatjon

Botiraliyev Xislatjon

⭐ ⭐ ⭐ ⭐ ⭐

"Assalomu alaykum Asilbek raxmat sizga qo'llariz dard ko'rmasin Alloh rozi bo'lsin xizmatizga rozi bo'ling !"

Davolash: Kareys

Aydin

Aydin

⭐ ⭐ ⭐ ⭐ ⭐

"Assalomu alaykum juda qo'llari yengil va eng muhumi gigiyena boyicha pritenziyam bo'lmagan yagona inson raxmat !"

Davolash: Implant

Erkebulan

Erkebulan

⭐ ⭐ ⭐ ⭐ ⭐

"Ajoyib shifokor ekanlar hammaga tavsiya qilaman qollari juda yengil"

Davolash: Kareys

Tabassumingizni o'zgartirish uchun tayyormisiz?

Bugun bepul konsultatsiya oling va onlayn yozilish uchun 10% chegirma qo'lga kiriting!

100% Xavfsiz

Ma'lumotlaringiz himoyalangan

Tez javob

2 soat ichida bog'lanamiz

10% Chegirma

Onlayn yozilish uchun

Bepul konsultatsiya
10%